![]() |
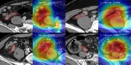
| ▲ 국내 의료진이 컴퓨터단층촬영(CT) 영상을 분석해 충수염을 자동 진단하는 인공지능(AI) 모델을 개발했다. (사진=한림대의료원 제공) |
[mdtoday=이한희 기자] 국내 의료진이 컴퓨터단층촬영(CT) 영상을 분석해 충수염을 자동 진단하는 인공지능(AI) 모델을 개발했다.
급성충수염은 임상 양상이 다양하고, CT 검사를 통해서도 비정상적인 충수가 발견되지 않아 다른 소화기 질환으로 오진하는 때도 있다. 이 AI 모델이 실용화된다면 충수염 오진을 줄이고, 더욱 신속한 환자 진료가 가능해진다. 또 응급실 인력을 보다 효율적으로 운영하는 데 도움이 될 것으로 예상된다.
한림대학교성심병원 외과 연구팀과 한림대학교의료원 의료인공지능센터는 CT 영상을 실시간으로 관찰해서 충수염을 자동판독해주는 AI 모델을 개발했다고 23일 밝혔다.
흔히 맹장염으로 알고 있는 충수염은 맹장 끝 부위인 충수돌기에 염증이 발생하는 것을 말한다. 증상으로는 구역질, 구토, 메슥거림 등의 증상이 나타나다가 명치 부위와 상복부에 점차 통증 강도가 심해지는 특징이 있다. 상복부 통증은 시간이 지나면 배꼽 주위를 거쳐 충수의 위치인 우하복부 통증으로 바뀌는데, 서서히 미열이 나타나고 한기를 느끼기도 한다.
급성충수염은 수술 통계 5위를 차지하는 다빈도 질환인 동시에 오진 발생이 가능한 질환이다. 질환 특성상 급성충수염 의심 증상으로 병원을 찾는 환자는 야간이나 주말 응급실을 통해 병원을 찾는 경우가 많다. 이때는 복부 영상의학과 전문의에 의한 정확한 판독이 제한될 수 있다. 게다가 급성충수염은 임상 양상이 다양하고, CT 영상을 통해서도 비정상적인 충수가 발견되지 않아 다른 소화기 질환으로 오진하는 경우도 있다.
문제는 충수염 진단이 늦어지면 천공이 발생할 수 있고, 충수염의 우측 하복부 염증이 복막염이나 골반내농양으로 발전되면 충수절제술 이상의 외과적 처치로 커질 수 있다는 것이다. 게다가 수술 후 합병증도 높아진다.
한림대성심병원 연구팀이 개발한 이 AI 모델은 CT 영상을 실시간으로 관찰해 대장염, 말단회장염, 상행결장게실염 등 충수염과 임상적으로 유사한 질환을 걸러내고 충수염만을 정확하게 진단하는 것이 가능하다.
연구팀은 2013년부터 2020년까지 한림대학교의료원에서 충수염 진료를 위해 CT 촬영한 환자 4701명의 데이터와 2019년부터 올해 5월까지 응급실을 내원해 복부 통증으로 CT 촬영한 환자 4452명의 데이터를 분석했다.
이후 충수염 환자 1839명, 충수염이 아닌 것으로 진단받은 1782명의 데이터를 걸러내고 ‘3D 컨볼루션 신경망(Convolutional Neural Network, CNN)’을 활용한 모델에 학습시켰다.
학습을 마친 AI모델의 충수염 진단 정확도는 89.4%로 나타났다. AI모델의 성능을 평가하는 데 사용하는 ‘곡선하면적(Area Under the Curve, AUC)’ 점수는 0.890으로 나타나 실제 임상에 적용할 수 있는 우수한 결과를 보였다.
조범주 의료인공지능센터장은 “이번 AI는 기존 모델들과 달리 3차원 CT영상을 입체적으로 인식했다는 점에서 의의가 있다”고 했다.
손일태 교수는 “이번 AI 모델의 민감도, 곡선하면적점수, F1 점수 등을 높이기 위해 다양한 방법을 검토하고 있다”면서 “이번 모델의 상용화 작업과 더불어 향후 충수와 관련된 모든 질환의 자동 판독을 목표로 연구할 계획”이라고 말했다.
메디컬투데이 이한희 ([email protected])

[저작권자ⓒ 메디컬투데이. 무단전재-재배포 금지]
















































