“흉부 X-ray 솔루션으로 대만 의료시장 본격 진출”
뷰노는 자사 인공지능 기반 흉부 엑스레이 영상 판독 보조 솔루션 뷰노메드 체스트 엑스레이(VUNO Med-Chest X-ray)가 대만 식품의약품청(Taiwan Food and Drug Administration, TFDA)으로부터 제조판매허가를 획득했다고 1일 밝혔다.
올해 초 대만 최대 종합 의료기업 CHC 헬스케어그룹과 대만 지역 총판 계약을 체결한 뷰노는 이번 허가 획득을 계기로 대만에서 뷰노메드 체스트 엑스레이의 판매를 본격화할 방침이다.
대만은 글로벌 수준의 ICT 인프라를 기반으로 정부가 주도하는 신규 헬스케어 솔루션 도입 방침을 통해 아시아의 디지털 헬스케어 강국으로 급부상하고 있다.
CHC는 대만에서 40여년 동안 축적된 풍부한 의료기기 판매 전문성과 노하우, 그룹 산하 대형병원과 다양한 현지 병원 네트워크를 보유한 기업으로 뷰노의 본격적인 대만 시장 공략을 위해 총 4개 제품 ▲뷰노메드 체스트 엑스레이(VUNO Med-Chest X-Ray) ▲뷰노메드 본에이지(VUNO Med-BoneAge) ▲뷰노메드 펀더스 AI (VUNO Med–Fundus AI) ▲뷰노메드 흉부CT AI (VUNO Med–LungCT AI)의 현지 인허가 획득, 마케팅, 프로모션, 판매 및 유지보수 서비스 등을 담당할 예정이다.
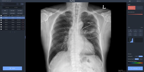
4개 제품 중 첫 번째로 대만 허가를 획득한 뷰노메드 체스트 엑스레이는 흉부 엑스레이 영상에서 결절, 경화, 간질성 음영, 흉수, 기흉 등 주요 이상소견을 높은 정확도로 탐지하고 위치와 소견명을 제시해 결핵, 폐렴 등 주요 폐 질환 진단을 돕는 인공지능 솔루션이다.
해당 솔루션은 영상의학 분야 최고권위 학술지인 Radiology에 게재된 임상연구에서 높은 판독 정확도와 효율성을 입증한 바 있다.
또한 국내외 주요 중대형병원 임상현장에서 활발하고 사용되어 임상적 가치가 검증된 주요 제품 중 하나다.
김현준 뷰노 대표는 “세계적인 의료 학술지 및 의료장비 파트너사의 검증을 거쳐 우수한 성능을 입증한 뷰노메드 체스트 엑스레이가 대만 허가를 획득함으로써 본격적인 현지 시장 공략의 발판이 마련됐다”며 “이번 허가를 받은 제품과 함께 현재 허가를 준비중인 뷰노메드 흉부CT AI, 뷰노메드 펀더스AI, 뷰노메드 본에이지 등의 뷰노메드 솔루션의 대만 시장 침투를 위한 적극적인 사업 활동에 매진하겠다”고 말했다.
Peter Lee CHC 부회장은 “현지 파트너로서 대만 허가를 획득한 뷰노의 AI 솔루션을 선보일 수 있게 돼 기쁘다”며 “코로나19 위기 상황에서도 다양한 의료현장에서 임상적 유효성을 꾸준히 증명해 온 뷰노의 제품들이 대만 의료현장 곳곳에서 활약할 수 있도록 모든 지원을 아끼지 않겠다”고 말했다.
![]() |
| ▲ 뷰노메드 체스트 엑스레이 스크린샷 (사진= 뷰노 제공) |
뷰노는 자사 인공지능 기반 흉부 엑스레이 영상 판독 보조 솔루션 뷰노메드 체스트 엑스레이(VUNO Med-Chest X-ray)가 대만 식품의약품청(Taiwan Food and Drug Administration, TFDA)으로부터 제조판매허가를 획득했다고 1일 밝혔다.
올해 초 대만 최대 종합 의료기업 CHC 헬스케어그룹과 대만 지역 총판 계약을 체결한 뷰노는 이번 허가 획득을 계기로 대만에서 뷰노메드 체스트 엑스레이의 판매를 본격화할 방침이다.
대만은 글로벌 수준의 ICT 인프라를 기반으로 정부가 주도하는 신규 헬스케어 솔루션 도입 방침을 통해 아시아의 디지털 헬스케어 강국으로 급부상하고 있다.
CHC는 대만에서 40여년 동안 축적된 풍부한 의료기기 판매 전문성과 노하우, 그룹 산하 대형병원과 다양한 현지 병원 네트워크를 보유한 기업으로 뷰노의 본격적인 대만 시장 공략을 위해 총 4개 제품 ▲뷰노메드 체스트 엑스레이(VUNO Med-Chest X-Ray) ▲뷰노메드 본에이지(VUNO Med-BoneAge) ▲뷰노메드 펀더스 AI (VUNO Med–Fundus AI) ▲뷰노메드 흉부CT AI (VUNO Med–LungCT AI)의 현지 인허가 획득, 마케팅, 프로모션, 판매 및 유지보수 서비스 등을 담당할 예정이다.
4개 제품 중 첫 번째로 대만 허가를 획득한 뷰노메드 체스트 엑스레이는 흉부 엑스레이 영상에서 결절, 경화, 간질성 음영, 흉수, 기흉 등 주요 이상소견을 높은 정확도로 탐지하고 위치와 소견명을 제시해 결핵, 폐렴 등 주요 폐 질환 진단을 돕는 인공지능 솔루션이다.
해당 솔루션은 영상의학 분야 최고권위 학술지인 Radiology에 게재된 임상연구에서 높은 판독 정확도와 효율성을 입증한 바 있다.
또한 국내외 주요 중대형병원 임상현장에서 활발하고 사용되어 임상적 가치가 검증된 주요 제품 중 하나다.
김현준 뷰노 대표는 “세계적인 의료 학술지 및 의료장비 파트너사의 검증을 거쳐 우수한 성능을 입증한 뷰노메드 체스트 엑스레이가 대만 허가를 획득함으로써 본격적인 현지 시장 공략의 발판이 마련됐다”며 “이번 허가를 받은 제품과 함께 현재 허가를 준비중인 뷰노메드 흉부CT AI, 뷰노메드 펀더스AI, 뷰노메드 본에이지 등의 뷰노메드 솔루션의 대만 시장 침투를 위한 적극적인 사업 활동에 매진하겠다”고 말했다.
Peter Lee CHC 부회장은 “현지 파트너로서 대만 허가를 획득한 뷰노의 AI 솔루션을 선보일 수 있게 돼 기쁘다”며 “코로나19 위기 상황에서도 다양한 의료현장에서 임상적 유효성을 꾸준히 증명해 온 뷰노의 제품들이 대만 의료현장 곳곳에서 활약할 수 있도록 모든 지원을 아끼지 않겠다”고 말했다.
메디컬투데이 이대현 ([email protected])

[저작권자ⓒ 메디컬투데이. 무단전재-재배포 금지]
















































